Dental Decay
Treatment in Kurnool

Find the Best Dental Decay Treatment in kurnool

If you're searching for the best dental decay treatment in Kurnool, look no further than SARA Dental Clinic. With a team of experienced experts, they provide top-notch treatments for various dental problems.

By booking an appointment at SARA Dental Clinic, you can embark on a journey guided by their skilled professionals, who will assist you in achieving the smile of your dreams. Don't let dental decay hold you back, trust SARA Dental Clinic for exceptional care and excellent results.

Dental Decay Treatment
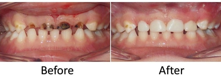
BEFORE & AFTER PICTURE GALLERY
BEFORE & AFTER PICTURE GALLERY
BEFORE & AFTER PICTURE GALLERY

FREQUENTLY ASKED QUESTIONS

Q. What is dental decay?

It's the destruction of tooth structure caused by acid-producing bacteria.

Q. What causes dental decay?

Dental decay is caused by plaque, a bacterial film that produces acid when consuming sugars.

Q. How can I prevent dental decay?

Maintain good oral hygiene, limit sugary/acidic foods/drinks, and visit the dentist regularly.

Q. What are the signs of dental decay?

Symptoms include tooth sensitivity, toothache, visible holes/pits, staining, and bad breath.

Q. Can dental decay be reversed?

Early decay can be reversed through remineralization, but cavities require dental treatment.

Q. How is dental decay treated?

Treatment involves removing decayed parts and filling cavities. Severe cases may require crowns or root canals.

Q. Can dental decay affect children?

Yes, children can experience dental decay. Early oral hygiene habits are crucial to prevent decay.

Q. What happens if dental decay is untreated?

Untreated decay can lead to toothache, infection, abscess, tooth loss, and require complex dental treatments.

Q. Is dental decay contagious?

Dental decay itself is not contagious, but the bacteria can be transmitted through activities like sharing utensils.

Q. Can fluoride prevent dental decay?

Fluoride helps strengthen enamel and prevent decay. It's found in water, toothpaste, rinses, and dental treatments.

Consult a dental professional for personalized advice on dental decay prevention and treatment.