Dental Fillings
Treatment in Kurnool

Find the Best Dental Fillings Treatment in kurnool

If you're looking for the best dental fillings treatment in Kurnool, look no further than SARA Dental Clinic. With their commitment to excellence, they offer top-notch treatments for various dental problems. Whether you need a simple cavity filling or more complex restorative work, their team of experts is ready to assist you. By booking an appointment at SARA Dental Clinic, you can receive personalized guidance and care throughout the entire process, ensuring that you achieve the best smile of your dreams.

Dental Fillings Treatment
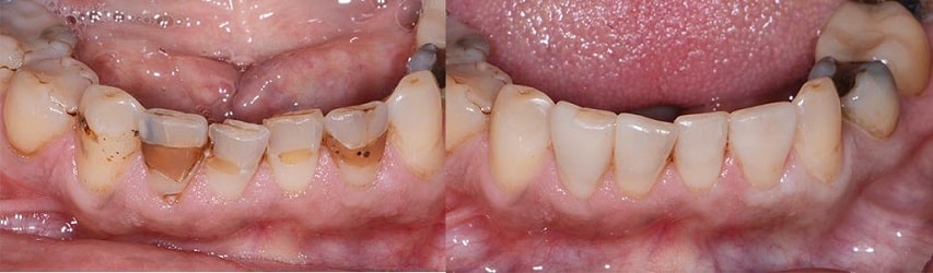
BEFORE & AFTER PICTURE GALLERY

FREQUENTLY ASKED QUESTIONS

Q. What are dental fillings?

They are materials used to restore decayed or damaged teeth.

Q. Why are dental fillings necessary?

: Fillings remove decay and restore tooth function, preventing further damage.

Q. What are the types of dental fillings?

Types include amalgam (silver), composite (tooth-colored), ceramic (porcelain), and glass ionomer fillings.

Q. How long do dental fillings last?

Lifespan varies, with amalgam lasting 10-15 years and composite/ceramic lasting 7-10 years or longer with proper care.

Q. Does getting a dental filling hurt?

Local anesthesia is used, minimizing discomfort during the procedure.

Q. How are dental fillings placed?

Decay is removed, the cavity is cleaned, and the filling material is applied, shaped, and hardened.

Q. Can dental fillings be replaced?

Yes, if they wear out, crack, or decay develops around them. Regular check-ups monitor their condition.

Consult a dentist for personalized advice on dental fillings and their suitability for your needs.