Dental Implants
Centre in Kurnool

Find the Best Dental Implants Treatments in kurnool

If you are looking for high-quality dental implant treatments in Kurnool, SARA Dental Clinic is a great choice. With a team of experienced dentists and state-of-the-art technology, they offer a range of dental implant services to help restore your smile and improve your overall oral health. Whether you need a single tooth implant or a full arch restoration, their skilled professionals will provide you with personalized care and support every step of the way.

Dental Implants Treatments
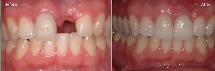
BEFORE & AFTER PICTURE GALLERY

FREQUENTLY ASKED QUESTIONS

Q. What is a dental implant?

A dental implant is a titanium post that replaces the root of a missing tooth, providing a foundation for a dental crown or bridge.

Q. How long do dental implants last?

With proper care, dental implants can last a lifetime.

Q. Am I a suitable candidate for dental implants?

Most individuals with good oral and overall health are suitable candidates, but a professional evaluation is necessary.

Q. Is the dental implant procedure painful?

The procedure is performed under anesthesia, minimizing pain. Some discomfort and swelling may occur afterward.

Q. How long does a dental implant procedure take?

It varies, but typically takes a few months and involves several stages, including surgery and healing time.

Q. Are dental implants noticeable?

Dental implants are designed to resemble natural teeth and are virtually indistinguishable.

Q. How do I care for dental implants?

Maintain regular oral hygiene, including brushing, flossing, and dental check-ups.

Q. Can dental implants fail?

While rare, implant failure can occur due to poor oral hygiene, smoking, or certain health conditions.

Q. Are dental implants covered by insurance?

Coverage varies by plan, so it's best to check with your insurance provider.

Q. Are there alternatives to dental implants?

Dental bridges and removable dentures are alternatives, but implants offer the most stable and natural-looking solution.